Contactez-nous
Nos Services
Avec plus de 5 ans d’expériences
Découvrez

LA PROTHESE DENTAIRE
Une Prothèse dentaire est un appareillage artificiel conçu et confectionner en vu de remplacer les dents naturelles perdues. Il existe plusieurs types des prothèses,tant provisoires que définitives. Cliquez sur ce lien pour en savoir plus...
LA DENTISTERIE OPERATOIRE
La dentisterie opératoire est une spécialité dentaire qui conciste à faires des soins sur des dents malades. Ces soins peuvent se faire sur la couronne de la dent et/ou sur ses racines. En dentisterie opératoire on soigne des maladies comme la carie dentaire, les fractures dentaires, et bien d'autres anomalies dentaires non carieuses. Cliquez sur ce lien pour en savoir plus...

LA CHIRURGIE ORALE ET MAXILLO-FACIALE
La chirurgie orale et maxillo-faciale s'occupe de la chirurgie des organes se trouvant dans la bouche, des machoires et de la face, tels que les dents, les glandes salivaires, la langue, les lèvres,...Cliquez sur ce lien pour en savoir plus


L'ORTHODONTIE
L'orthodontie est une spécialité dentaire qui s'occupe des traiment des malpositions dentaires et maxillaires. L'objectif est de retrouver un bon alignement dentaire afin de restaurer le sourire et l'esthéque du visages. Plusieurs techniques et appareillages sont utilisés pour atteidre cet objectif. Cliquez ici pour en savoir plus...
LA PARODONTOLOGIE ET HYGIENE DENTAIRE
La Parodontologie est uen spécialité dentaire qui s'occupe du traitement des tissus de soutient de la dent à savoir: La gencive, les ligaments alvéolo-dentaire, et l'os alvéolaire. Plusieurs problèmes dentaires y sont traités comme les gingivites, les parodontites, les mobilités dentaires et bien d'autres. Cliquez ici pour en savoir plus...

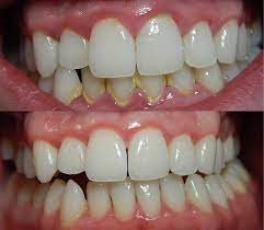
BLANCHISSEMENT DENTAIRE ET MEDECINE ESTHETIQUE DE LA FACE
L'esthétique et le sourire reste un élement fondamental pour la beauté et l'intégration sociale. Les dents jouent un rôle important dans le sourire et l'esthétique du visage. Le changement des teintes de la dent peut être resolu, et vos dents peuvent retrouver leurs blancheurs initiale. Découvrez comment y arriver en cliquant sur ce lien

Laissez-nous vous aider !
Il vous suffit de réservez un rendez-vous et nous ferons le reste.

Questions fréquentes !
Il y a une solution à chaque problème ou préoccupation
Quels types de services proposez-vous ?
Nous offrons une gamme complète de soins médicaux, allant des consultations générales aux spécialités médicales, ainsi que des examens diagnostics et des soins préventifs.
Dois-je prendre rendez-vous ou acceptez-vous les urgences ?
Il est préférable de prendre rendez-vous pour réduire votre temps d’attente, mais nous sommes disponibles pour gérer les urgences selon leur nature.
Acceptez-vous les assurances médicales ?
Oui, nous collaborons avec plusieurs compagnies d’assurance. Contactez-nous pour vérifier si votre couverture est acceptée.
